LK-October2016-75.jpg
 

Laminitis

Laminitis strikes fear in the hearts of horse owners more than almost any other disease. Even colic is often less feared than laminitis. This disease causes inflammation inside the hoof, and a breakdown of the attachments between the coffin bone and the hoof. "Rotation" and "sinking" of the coffin bone can cause excruciating pain and debilitating lameness. 

 

Diagnosis of Laminitis

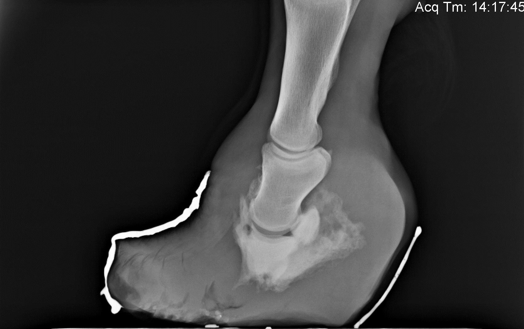
Recognizing the signs of laminitis is extremely important. Affected horses may just seem a little "stiff," or may resent turning sharply left and right. They also may "rock back" onto their hind feet in an attempt to take pressure off the front hooves. Horses suffering from laminitis are identified by observation, physical exam and careful examination of the hooves. Radiographs (x-rays) are incredibly beneficial in making a diagnosis, and the findings can also help with estimating the chance for successful outcome. 

 

Treatment of Laminitis

Horses with laminitis are treated with a "3-phase" approach. All three phases of treatment are implemented immediately to increase the chance that the horse will return to his career. Phase 1 involves the application of special shoes or pads. We use different types of pads and shoes depending on radiographic (x-ray) findings, but all types center on enhancing the horse's comfort and decreasing further damage. Phase 2 involves the administration of medications. Horses with laminitis usually benefit tremendously from pain control and anti-inflammatories. We also use medications that help with blood flow to the feet in some circumstances. We try to avoid "over-medicating" and resist over-prescribing medications that have no evidence for their use, or that have been proven ineffective. Phase 3 involves dietary management. Since dietary sugars can cause or worsen laminitis, we often recommend limited starch/sugar diets for laminitic horses. Specific recommendations vary from horse-to-horse and we always work with the owner to determine what feeds will be most beneficial. 

 

A Note on the "Team Approach"

We believe strongly that a unified "team approach" provides a horse with the best chance for a successful outcome. The owner, veterinarian and farrier all play critical roles in the horse's treatment. Each and every case of laminitis is different, and remaining open to different treatment modalities is extremely important. We work side-by-side with owners and farriers to provide the best treatment for each individual horse.