Those aren't "old horse teeth!" That's EOTRH- a painful condition of equine incisors.


“He’s just got ‘old horse teeth’ doc!”

That’s usually the response from the horse owner or farm manager when I bring up the subject of an older horse’s diseased incisors. Yes, older horses have changes in the size, shape and orientation of their teeth, but broken incisors, “laid over” teeth, loose front teeth, and gingivitis are not a normal finding in an older horse. In fact, these are signs of a serious, painful disorder called “Equine Odontoclastic Tooth Resorption and Hypercementosis (EOTRH).”


 
This horse has multiple symptoms of EOTRH. The red arrow points to a broken lower incisor and the green arrow points to severe gingival erosion. Both orange arrows point to thickened areas of the jaw.

This horse has multiple symptoms of EOTRH. The red arrow points to a broken lower incisor and the green arrow points to severe gingival erosion. Both orange arrows point to thickened areas of the jaw.

 

I know, it’s an awful name. I can barely spit it out myself and I sound like a pompous know-it-all when I do. Unfortunately, we’re unlikely to give it a newer, catchier name any time soon (gone are the days of naming diseases after fabulous descriptive terminology like “trench mouth,” “pizzle rot,” or “bog spavin”). Regardless of the tongue-twisting name, it’s extremely important that horse owners know the signs of this disease.

EOTRH is a newly recognized disease; it was only first identified in 2004. Since then, the veterinary profession has become increasingly aware of it. The condition involves proliferation (out-of-control growth) of the outer covering of equine teeth, called cementum (this is the “hypercementosis” part). In addition, many horses also have destruction of the internal structure of the teeth (the “resorption” part). As the disease progresses, the front teeth can become loose and crooked, or break off due to weakness and infection. In addition, the bone of the jaw can become infected.

This is a severely-affected horse. Note the large, broken, infected incisor. Feed is actually collecting within the rotted remnant of the tooth. This horse was in tremendous pain.

This is a severely-affected horse. Note the large, broken, infected incisor. Feed is actually collecting within the rotted remnant of the tooth. This horse was in tremendous pain.

Another severely affected horse. The blue arrow points to a broken, "laid over" tooth and the red arrow points to a tooth with hypercementosis (note the bulging and amount of exposed tooth).

Another severely affected horse. The blue arrow points to a broken, "laid over" tooth and the red arrow points to a tooth with hypercementosis (note the bulging and amount of exposed tooth).

This condition is obviously painful, and one of the first signs of the disease may be the horse’s refusal to bite a carrot or treat. Other early signs include drooling, decreased appetite, or abnormal behavior at the water trough (rinsing the mouth, dunking the muzzle, etc). Tapping on the teeth may produce a painful response. To diagnose EOTRH, we need to take radiographs (X-rays). Radiographs of affected teeth show bulbous root structures and dark spots inside the teeth, which indicate resorption.

 
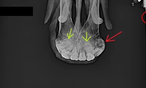
X-ray of a horse with EOTRH. The green arrows point to bulbous roots (hypercementosis) and the red arrow points to a tooth with both hypercementosis and resorption (the black area inside the tooth).

X-ray of a horse with EOTRH. The green arrows point to bulbous roots (hypercementosis) and the red arrow points to a tooth with both hypercementosis and resorption (the black area inside the tooth).

 

At this point, we don’t really know what causes EOTRH. It’s still very new, so research is ongoing. In 2013, Arizona researchers published a study that offered some insight into risk factors for the disease. Management conditions, endocrine diseases and certain previous dental procedures were identified as some of the possible contributors. It’s way too early to fully understand how these risk factors actually predispose the horse to developing EOTRH, but new information will surely become available in the coming years.

A good example of a resorptive lesion. The surface of the tooth is not intact, and the appearance is a little like a cavity. There is often feed material or hair stuck in the lesion.

A good example of a resorptive lesion. The surface of the tooth is not intact, and the appearance is a little like a cavity. There is often feed material or hair stuck in the lesion.

The blue arrow points to pinpoint draining tracts (they look like tiny dots) and the green arrow points to an affected corner incisor. The red arrow points to a severely affected, broken tooth with visible resorption.

The blue arrow points to pinpoint draining tracts (they look like tiny dots) and the green arrow points to an affected corner incisor. The red arrow points to a severely affected, broken tooth with visible resorption.

So what do we do about EOTRH? Unfortunately, there are few treatment options. If the horse is in pain, removal of the affected teeth will restore his comfort. In some cases, removal of affected teeth may stop the spread of the disease to other healthy teeth.

Many horse owners are worried about extracting the horse’s incisors. It’s important to know that horses without incisors can graze and live a perfectly normal life. If all the teeth are removed, the horse’s tongue may hang out of his mouth, but this doesn’t seem to bother them! Living without some (or all) incisors is WAY better for the horse than suffering from chronic pain associated with broken teeth and infected jaws!

This horse had his incisors extracted six months prior to this photo being taken. The owners were thrilled with the horse's brighter attitude and could tell that he was in much less pain than before the procedure. The best part? He at three flakes o…

This horse had his incisors extracted six months prior to this photo being taken. The owners were thrilled with the horse's brighter attitude and could tell that he was in much less pain than before the procedure. The best part? He at three flakes of hay the night after the removal! He was more comfortable immediately after the extractions than he had been for quite some time!

Another aged Thoroughbred gelding, two years after incisor removal! This horse grazes normally (well, almost normally) and lives a happy life!

Another aged Thoroughbred gelding, two years after incisor removal! This horse grazes normally (well, almost normally) and lives a happy life!

This is the same horse from the image above. He's fat and happy, but his tongue does hang out a bit! This is common in horses that have all their incisors removed.

This is the same horse from the image above. He's fat and happy, but his tongue does hang out a bit! This is common in horses that have all their incisors removed.

If your horse has any symptoms of EOTRH, have your veterinarian evaluate him for this condition! Radiographs (x-rays) will show changes, even early on in the disease. The sooner we are able to intervene in cases of EOTRH, the sooner the horse is out of pain!

Lisa Kivett